把干冰当玩具摇
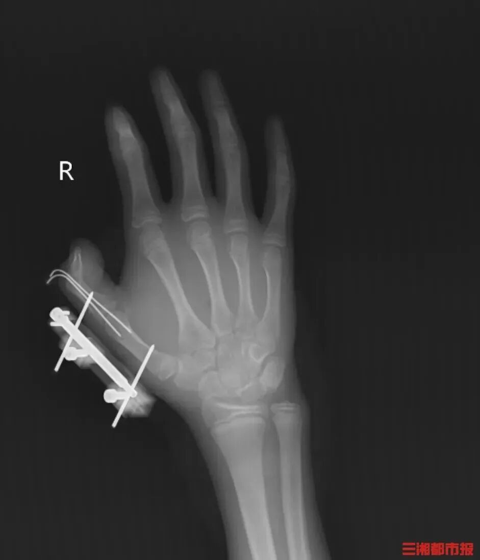
14岁少年手指被炸得深可见骨




爆炸


窒息
冻伤
2024年夏,一男子在驾驶车辆时突感身体不适,几近昏迷。上海闵行公安分局碧江路派出所接到其妻子的异地报警,将男子送医急救。原来,该男子车辆后备厢中装了一箱冷饮,用干冰冷藏,因干冰发生升华,他在密闭车厢里吸入了过量二氧化碳,导致身体不适。

2024年9月,山东济南一8岁男孩将干冰塞到小瓶口的玻璃瓶里,不断摇晃,导致玻璃瓶突然发生爆炸。飞溅的碎玻璃扎进其左脸、头部、耳部及颈部血管,大大小小约30处伤口。

2024年6月15日,河南省平顶山市发生一起轻型厢式冷藏货车车厢内窒息亡人事故,造成8人死亡。调查报告显示,厢式冷藏车驾驶员违法让10名女工搭乘装有包装牛肉的厢式冷藏车,牛肉包装箱内放有干冰,干冰升华成二氧化碳气体,迅速进入车厢狭小空间内,造成空气中二氧化碳浓度骤然提升,致使其氧气浓度很快降低至可导致人体窒息死亡的极限浓度,8名女工在密闭车厢内滞留17分钟,造成缺氧窒息死亡。


别让孩子触碰
拒绝密闭空间
接触必戴防护
受伤立即就医
